劇的な治療効果が数多く報告されています!
掲載している症例報告は全て事実です。気になる点などございましたら、お気軽にお問い合わせください。

乳がん
トリプルネガティブ乳がんの骨転移で
通常、乳がんで骨転移があると、どんな治療をしても(放射線 + 抗がん剤でも)乳がん骨転移は治らない、と言われています。
それでも、自家がんワクチンを上乗せして使ってみると、
症例0406
胸部に大型骨転移があり、ホルモン療法も効かないトリプルネガティブの乳がんで、自家がんワクチン接種(2006.08)後の免疫反応(DTH-2反応)テストは陰性だった。放射線・化学療法を併用、1年後には縮小、さらに3年後(2010.12)には骨転移が消失、全く再発の傾向なく(それまで、まだまだ「治った」とは言えないと抵抗していた放射線科の先生がついに「もういいよ」と言ってくれた)術後5年目に根治と判定。

乳がんの骨転移の治療法については、専門医が叡智を結集して作成した医師向けの「乳癌診療ガイドライン-2013年版」があります。しかし、その中には「骨吸収抑制剤(ゾメタやデノスマブ)は、生存には寄与しないものの、骨関連事象の頻度を減らし、その発症も遅らせる」、「外科的切除は勧められない」、「骨転移による疼痛緩和に放射線療法は有用である」とは書いてありますが、根治可能とはどこにも書いてありません。治せる方法がないからです。
また、8051症例もの検討の結果、強力な放射線照射をしても、骨転移の痛みを取るためには80%以上で有効でも、骨転移巣を完治させることはできないことが判明しています(Acta Oncol. 2003; 42:620-33)。
本邦でも、「骨転移治療の目標は、骨に住みついたがん細胞を、完全に取り除いたり、死滅させたりすることではない。残念ながら、現在の治療ではそれはできないからだ。」(がんサポート、監修:村岡 篤、香川労災病院第3外科部長、2012年03月号)と述べられています。
しかし、上の症例は、「自家がんワクチン + 放射線 + 抗がん剤」治療で明らかに治っており、自家がんワクチンの上乗せ治療効果があったためと結論されています。
症例報告論文がございますので、現在の主治医と相談される際にプリントアウトしてご持参下さい。
ただし、この論文にはない、上図の「治った!!」という時点の画像を、さらに特殊なSPECTによる検査で確認した画像が下図です。骨転移巣が完全に消失したままであることが確認されています。2018年1月で、骨転移巣が臨床的完全奏効(cCR)となってから、満5年に達します。
この図は、論文(Kuranishi F, et al. Int J Breast Cancer, 2018;article ID 4879406, 11 pages.)の中のFig. 2として公開されています。

がん、骨転移には
ワクチンを!!

骨転移があっても効いた!1年以上、完全奏効状態を維持
症例0984
乳がん原発巣を2009年3月に手術、その4ヶ月後に第1選択として自家がんワクチン療法を受診された方です。その後、抗ホルモン剤を投与されていましたが、6年後に胸骨に骨転移が発見され、2コース目の自家がんワクチン療法を受診、36Gyの放射線治療、レトロゾール + ゾレドロン酸治療で血中CEAが激減しています。追加で2015年10-11月にはニボルマブ投与を2回受けています。2016年2月にPET-CT診断で臨床的完全奏効(cCR)、以後、2017年8月まで検査を繰り返していますが、cCRを維持しています。骨転移ありとの最初の診断時から26ヶ月以上健在です。

症例2040
乳がんを2000年6月に摘出、抗ホルモン剤を服用していましたが、13年後に再発、その際、超大型の胸骨転移巣が発見されました。2013年には放射線治療と自家がんワクチン療法、以後、ゾレドロン酸 + タモキシフェン + レトロゾールで治療されています。2014年9月に臨床的完全奏効(cCR)となり、2015年8月に再確認されています。しかし、2016年2月に小さい再発が胸骨に出現、cCR状態は17ヶ月間と判定されています。胸骨の再発はピンポイントの放射線治療で消失、現在まで40ヶ月以上健在です。

脳腫瘍
最悪中の最悪、でも10年以上元気です
症例0039
脳にできるがん(腫瘍)の中でも、多型膠芽腫(グレードIV)といわれる種類は、“がんの中でも最悪中の最悪”といわれるほど、予後不良とされています。しかし、術後に自家がんワクチンを接種したこの方は、仕事を続けており社会復帰しています。
現在の標準療法「手術 + 放射線治療 + 抗がん剤治療」を重ねても、手術で全部とれなかったり再発したりすると専門医でもあきらめるのが普通です。9割以上の方は5年以内に死亡します。
この方は、多型膠芽腫(GBM、グレードIV)。手術、放射線61.2Gy照射後、抗がん剤ACNU2コース実施。以後、自家がんワクチン療法を施行。2回目の免疫反応テストは陰性でしたが、腫瘍体積減少。04年2月までは一部縮小。その後部分寛解、術後24ヵ月以降は完全奏効(CR)となり社会復帰、2013年3月現在CR継続中。希少な10年生存例となっています。

肺がん
放射線治療の前に「地固め効果」を
症例0144
通常、肺がんでリンパ節転移があった場合、その場所だけなら放射線で治せても、未照射の他のリンパ節で多発再発する例が多いため、放射線治療を追加するのはあきらめてしまいます。
しかし、自家がんワクチンの効果を実感していた主治医は、この方についてはあきらめませんでした。この方は、胸に水が溜まり、しかもその中を肺がん細胞がウヨウヨ泳いでいたという、手術しても決して全部のがんは除けないという最末期でした。
胸水混濁アデノカルチノーマ姑息的手術症例。腫瘍マーカーであるCEAとCYFRAが自家がんワクチン接種後(2004.09-10)一時上昇したにもかかわらず、接種3ヶ月後から減少しはじめ7ヶ月間減少し続けました。この間他療法は一切行っていないため、腫瘍マーカーの減少は明らかに自家がんワクチンによるものです。
1年後に(2005.10)、リンパ節転移をPETにより発見、局所放射線治療実施(上図の右端時点で)、リンパ節転移巣消失、腫瘍マーカーが正常化。ワクチン接種後3年経過時、QOLは問題なく、2009.10現在も腫瘍マーカーの再上昇も全くなく、健在です。
この効果は、いわゆる自家がんワクチンの「地固め効果」によるものと推定されています。

脳転移があっても
通常、肺がんで脳転移がある場合の予後が非常に短いことは、臨床現場では良く経験されています。
例えば、岡山市立市民病院院長・岡山大学医学部脳神経外科教授・松本健五先生によれば、「一般的に、診断後何も治療をしなかった場合の平均生存期間は1~2ヶ月程度です。また放射線治療のみでは3~4ヶ月、(脳の)手術および放射線治療を行い得た場合でも術後生存期間は平均10ヶ月に過ぎません。」という厳しいものです。
この現場感覚よりは、少し予後がよい一般的な生存カーブは、下記ページで公開されています。
それでも5年生存率は9.8%(つまり、9割以上の方が亡くなるということ)です。
しかし、以下の方の場合をご覧ください。
症例0985
肺がんのうちアデノカルチノーマ混合型サブタイプと確定診断された症例。原発巣の肺右上葉は手術。同時に切除されたリンパ節にも転移があった。術後化学療法は効果なく、脳・脾臓転移を発見(自家がんワクチン1コース目接種開始途上で)、脳と脾臓の転移は自家がんワクチン接種完了後のガンマナイフによる放射線治療で消失、放射線科医が驚いていました(従来常識では、ここまで進行すると脳のガンマナイフによる放射線治療でも根治することはほとんどない)。元気に歩いて通院してきたので、著効例となりました。
こんなにデカかった、それでも完治
症例1574
手術前に、これほどデカい肺がんでも、胸水が溜まり始め、熱があっても、手術できて自家がんワクチンが投与できれば、長い間、無再発を享受することが可能です。
この方は、60歳代女性、こぶし大の大型肺がん。術前は、血痰、39-40℃の発熱、全身衰弱というギリギリの厳しい状況でした。術後、がん周囲への浸潤、リンパ節転移も見つかっていたため、自家がんワクチンを投与した主治医が、3年後に消息調査の為、娘さん(医療関係者)に電話をいれたときは、内心、『再発して、すでにお亡くなりになっているかな・・・』と思っていた方です。
しかし、嬉しい予想外で『再発もなく、とても元気です』、そして『自家がんワクチンが効いていると思います』、とのこと。身内とはいえ医療関係者の評価であることから、的外れとはとても思えないため、著効例と判断しています。
この患者様、全く問題なく術後5年経過、主治医から「完治」の宣言が出ています。
この症例報告があったもともとのブログも併せてご覧ください。

ついに「根治」と診断
症例0625
肺がん。
2007.08.22病理診断書には、右肺上葉、低分化型腺がん、胸膜にもがんが浸潤、静脈侵襲が散見される、と記載。リンパ節には34個中13個に転移が認められていた。
2007.10自家がんワクチン接種開始、しかしその後、リンパ節に転移を発見、放射線治療、低用量化学療法(休眠療法)を経て2012.07無再発にて治療終了。
2015.01無再発生存中。主治医診断は「根治」。
詳しくは、下記ページで引用したブログ記事をご覧ください。
(注)この症例では、自家がんワクチン接種2ヶ月後に転移を発見しているため、一旦は自家がんワクチンが「無効」と考えられていました。しかし、その後、2011.11.17の主治医のブログでは、「放射線照射を併用することにより、自家がんワクチンの治療効果が引き出された症例」と、評価が「有効」に変化しています。
(小細胞肺がん)
余命2ヶ月の宣告でもまだ元気一杯、がん専門病院でも不思議がっている
症例2507
小細胞肺がん。
受診していたがん専門病院の主治医からは「2ヶ月以上は生き延びられない」と言われていた。
2015.12初旬の術後に、免疫チェックポイント阻害剤・オプジーボ(非小細胞肺がんでは承認)の臨床試験登録を待ちきれず、自家がんワクチンと放射線治療を受診。
以後、腫瘍マーカーも正常化。2016.08現在、元気一杯でゴルフをやっている。未だオプジーボは使用しておらず、がん専門病院の呼吸器外科でも不思議がっている。
(注)本症例も、がん専門病院では無視されていた放射線との併用により自家がんワクチンの治療効果が引き出され、「劇的な延命効果」が現在も進行中の症例です。一般に小細胞肺がんは進行スピードが非常に早く、「肺がんの中で最も侵攻性の臨床経過をとり、診断後の生存期間中央値はわずか2~4ヵ月である」、「このタイプのがんのすべての患者は、診断を受けた時点で臨床試験への参加を検討されることが適切である」(がん情報サイト、PDQ®日本語版(医療専門家向け))とされているほど、タチの悪い肺がんの一種です。
肝がん
29回も治療に次ぐ治療、しかしその後は
症例0757
C型肝炎を背景因子とした肝がん。
2001年8月以来、2007年11月までに頻繁に再発を繰り返したため、計29回もの治療を重ねました(肝動脈塞栓療法6回、酢酸局注3回、ラジオ波焼灼療法2回、マイクロ波治療1回、エタノール局注2回、肝動脈内動注化学療法1回、抗がん剤治療11クール、手術3回)。
最終手術前の腫瘍マーカーAFP値は41,958と異常な高値で、術後いったん下がったものの再上昇傾向があるのではないかとの疑いがあり、2008年7月に自家がんワクチン接種、以後5年以上、全く再発の徴候もなく元気です。手術を行った大学病院の担当医も驚嘆していました。
下図はこの方の3回目の手術で摘出された肝がんです(左側黄色矢印)。横隔膜の一部も一緒に手術で切除されています。また、その時の肝がんの病理画像です(右側)。上部には脈管浸潤まで見られ(黄色矢印:すでに肝臓全体にがん細胞が散らばっていると推定されます)、再々発は必至と考えられていました。

C型肝炎にかかった後に起こる肝がんは、非常にしつこく再発を繰り返すことが知られています。28回も各種の治療を続けても治らず、29回目には3日間におよぶ大手術を受けたこの方は、やれやれと思ったのもつかの間、血中の腫瘍マーカーが少々上がってきたため、またかとついに観念、自家がんワクチン療法を受診されました。その結果は、以下のとおりです。

肝がんが腹中で破裂。だが
通常、多発肝がんがあって、腹水まで発見された場合、がん細胞が腹中全体に散らばっているのは避けられず、術後も再発必至と主治医も覚悟します。まして、腹部内でがんが破裂、と診断された場合はなおさらです。しかし、この方は生き延びられました。その方法とは、
症例0260
B型肝炎ウイルスキャリアー。
2005年5月、突然の右肋部痛出現、救命外来へ搬送。CT検査にて多発肝腫瘍と腹水を認めた。
6月、血管造影にて肝下方へ突出する約9cmの肝がんを認める。
肝細胞がん破裂と診断、腹膜播種の疑いがあって、7月外科切除。
9月自家がんワクチン投与開始。
診療情報提供書に「1年間腹膜再発がなければ…」とありましたが、2012年7月、「今のところ再発や転移、後遺症など全く無く、ごく普通に生活できております」との知らせがあって、7年間無再発の著効例と判断しています。
確かに肝がん抗原分子を目印にしています
自家がんワクチン療法では、確かな肝がん抗原分子を目印にして攻撃するキラー細胞が出来ていることを示す免疫生物学的な証拠があります。
症例1680
肝がんの初回手術から再発を4回繰り返し2回目の手術を受けた方。再発間隔が51ヶ月、28ヶ月、12ヶ月、4ヶ月とどんどん短くなり、「もはや……」と覚悟して自家がんワクチン療法を1コースだけ受診。しかし、その後32ヶ月間以上無再発。この方の血中に、肝細胞がんに特徴的ながん抗原分子、グリピカン3を特異的に認識し、肝がん細胞を殺す強力なキラー細胞、細胞傷害性Tリンパ球(CTL)が検出されています。

血中に、グリピカン3を発現する肝がん細胞に対して反応するCTL(赤い点)が明らかに増えている。カッコ内はその数

グリピカン3を発現しない同じ肝がん細胞に対しては、反応するCTLは少ない。
術後肝がんの再発抑制効果を、より一層明瞭に示しているランダム化比較対照臨床試験の結果は、2004年に論文発表されています(Clinical Cancer Research, 10: 1574-1579, 2004)。
万一、主治医に科学的根拠が疑問だと言われたときは、この論文を読者にお送りしますので、下記よりお問い合わせください。
その際、「お問い合わせ内容」欄に「肝がんの論文」とご記入をお願いいたします。
主治医にご持参の上、あきらめずにご相談ください。
日曜・祝日を除き 9:00~17:30
胃がん
“腹膜播種”!!
胃がんで、腹膜播種(はしゅ)と診断された症例では、お腹の中全体にがん細胞がばら撒かれている状態のため、初期治療で見かけ上治ったようにみえても再発必至で、標準的な抗がん剤治療では治らないと考えられています。
しかし、以下の二人は、ともに、現場の医師から驚きの声が出ている例です。
症例0615
胃がん(膵皮膜侵潤、がん性腹膜炎あり)、術後に抗がん剤治療をしない場合は余命数ヶ月との主治医見解。
2007年10月自家がんワクチン接種、他の治療は実施せず。
2008年9月(1年経過時)時点で全く問題なく健在。山歩きもできる状態となっています。
症例0831
2008年11月胃がん手術時に、腹膜播種を発見、すでに横行結腸を巻き込んでいたため、横行結腸も切除、推定余命は6ヶ月~1年でした。
12月に自家がんワクチン接種、以後、温熱療法・高濃度ビタミンC療法を併用、2010年4月現在まで再発がなく、すでに術後1年4ヶ月経過しています。
まさか、まだとは
AFP産生胃がんは、静脈侵襲が強く、肝臓にとても転移しやすいがんです。
手術後の再発例も多くて、予後不良(ほとんどがまもなく死亡する)、とされています(椎名伸充 他、AFP産生胃癌の臨床病理学的検討、千葉医学 88:97-101,2012)。
この方は、来院したとき、体重が急減していて、自家がんワクチン投与後は全く連絡がつかず、2009年末時点では担当医が「(推定)死亡」と診断するほど状態が悪かったのですが、
症例1046
1年間抗がん剤治療施行後
(2009.11.24)
自家がんワクチン納品。抗がん剤使用時はAFP=40~50前後のまま低下せず、体重が65kgから40kg台に急減したため、1ヶ月休薬後に自家がんワクチン投与。
(2010.07.13)
フォロー調査時点までは全く連絡がつかず、(推定)死亡と診断。
(2012.09.12)
患者様の奥様より電話があり、自家がんワクチン投与から3年経過した今でもAFP=2~3程度におさまっているとのこと。
(2013.07.25)
再度、患者様の奥様より、全く問題なく仕事に復帰しており、非常に感謝しているとの連絡があり、友人のためとしてワクチン関係の新規資料請求があった。
(2017.05)
再々連絡があり、現在も全く問題なく、自家がんワクチン投与後すでに7年経過。元の治療病院でも驚きの症例で、患者様は定期的に元の病院に連絡するように言われているとのこと。
というわけで、「死者が生還した!」と言われるほどに驚きをもって転帰が修正された著効例です。
膵がん
重要なリンパ節に転移があっても
症例0621
膵臓がんで、もし、背骨のすぐそばを通る太い血管の脇にあるリンパ節(腸間膜リンパ節)に転移しますと、通常、外科医は観念します。しかし、この方は、自家がんワクチンに加え、抗がん剤の使用量を少なくした「低用量抗がん剤」で治療を続けたところ、3年後には問題ないレベルまで小さくなりました。
2006.06、膵頭部がんに対して膵頭十二指腸切除、術後補助化学療法(ジェムザール、当初1500mg/body/隔週、2007.01からの累積で21回)施行、07.10自家がんワクチン接種、以後08.10現在でも低用量ジェムザール投与継続(1000mg/body/隔週、累積20回以上)、腸間膜リンパ節転移巣(赤い矢印の先)が1年以上の長期不変となっています。
このリンパ節転移は重要で、外科医としては再発リスクは非常に高い症例であったと判断していました。
しかし、2010.12末までの間にほとんど見えなくなっています。

軟部肉腫(組織球腫)
足1本、切断せずに助かった
手足にできるがんで、軟部肉腫と診断されますと、外科医は非情にも、その手、その足をズバッと切断します。
それが再発転移を防ぐ最も確実な治療法だからです。
しかし、この患者さんは、「足を切られるのはいやだ」と拒否しました。
そこで主治医が取った方法は、抗がん剤治療はせず、「再手術 + 放射線治療」(これでは、軟部肉腫のうちの悪性度が高い繊維性組織球腫は治らない、というのが常識ですが)、さらに「 + 自家がんワクチン」という方法でした。
いまでも2本足で歩いています。
症例0374
繊維性組織球腫。
80%の症例で肺転移が起こり、術後再発した場合の生命予後は不良。
この症例は、初回手術後3ヶ月で、局所再発していたがんが4.5cmに腫大していたという悪性度が高いと推定される例だが、「再発局所切除 + 76Gyの放射線照射 + 自家がんワクチン」(化学療法はせず)で4年以上無再々発・無転移。
なお、2007.11におこなったDTH反応テストでは擬陽性。
2010.04のDTH反応テストでは陽性となっていた。
骨肉腫
主治医も同意
骨肉腫は、骨の細胞ががん化して発症します。骨だけに収まっているうちは切断すればよいのですが、転移しやすく、いったん肺などに転移すると、予後は深刻です。
この方は、抗がん剤が効かず、5回も再発を繰り返し、脚を1本失いましたが、自家がんワクチンで肺転移を克服されました。
症例0310
1998.07、24才で発症以来、強烈な副作用のある抗がん剤治療に耐え抜いても、ほぼ2年おきに再発・肺転移を繰り返し、計5回もの手術と右足切断を余儀なくされた方です。 2006.02自家がんワクチン療法を1コース受診、2回目の免疫反応テストは陰性。
しかし、以後6年間以上、無再発。現在も仕事をしつつ生活をしており、義足をつけている点を除けば全く問題なく健在。「治った」と言ってもよいと主治医も同意しています。
(2018.01、当社に元気だとの年賀状をいただいていることから、10年超無再発で、確かに「治った」と言ってよいでしょう。)

この方が、闘病記を出版されました。ぜひ、ご一読下さい。通販で入手可。
すごいカスタマーレビューが付いています。
腹膜がん
簡単にあきらめなければ
腹膜がんはお腹の中の各種臓器を取り囲んでいる腹膜にできるがんで、女性の場合、卵巣がんとよく混同されます。卵巣がんではTC療法(※)が標準治療になっています。
※脱毛・しびれ・筋肉痛関節痛・アレルギー・白血球減少・吐き気・嘔吐・爪の変化を起こす強い化学療法です。
しかし、TC療法が効かなくなった場合、もはや良い治療法がありません。
そこで、以下の方は、自家がんワクチンとの同時併用を選択されました。
症例1276
53歳女性、開腹手術時に卵巣、大網、腹膜播種を認め、原発性漿液性腹膜がん(PPSC)と診断された。
腹腔内の広範囲切除後、TC療法を6コース実施。再発後、回腸転移巣を3cm切除、TC療法を6コース追加、血中CA125上昇を認め、さらに5コース追加したが8ヶ月後にはCA125が急速に上昇PET-CTで多発再発を認めた(画像図左黄枠内)。
この間、再発間隔が26、20、8ヶ月とどんどん短くなっている。
TC療法をもう一度追加するもCA125が3,571U/mLに達し、制御不能になった(グラフのday105)。
そこで自家がんワクチンを併用したところ(グラフの青い白抜き矢印)、わずか1ヶ月でPET-CT上でがん塊が消失した(画像図右黄枠内)。CA125もドラマチックに激減(グラフの133日目)、完全寛解(CR)状態が281日まで続いた。
残念ながら310日目以降に再々発し、患者は16.5ヶ月後に死亡したが、強烈な化学療法でさえも制御不能になってから自家がんワクチン併用により1年以上も生存できたことは特筆に値する。


この方の症例報告論文は、2015.08.02 Clinical Case Reports誌に受理されました。
Clinical Case Reports誌のホームページでご覧いただけます。
腎盂がん
治らないはずの多発肺転移が自家がんワクチン単独治療で完全寛解!
腎盂がん細胞が、肺と、腹部傍大動脈周囲リンパ節(背骨の脇に多数あります)に多発転移していて、病理切片の画像をみた病理医が、『病理の立場からは、これは治らないがんですね・・・』と言ったなら、その後の悲劇は推して知るべしです。
しかし、当の患者様が、当初の抗がん剤治療がやはり効かなかったとわかってから、それ以上の抗がん剤治療を止め、自家がんワクチン療法を希望されました。その結果は、
症例2114
“自家がんワクチンだけ”で治療後、22ヶ月の時を経て、フォローアップ調査をしてみたら、
・2ヶ所の肺転移巣も消失
・2ヶ所の傍大動脈周囲リンパ節もほぼ消失
となっていて、当の主治医も【「効いた!」というガッツポーズ症例だ】と驚愕した話がブログで公開されています。
ぜひ、順番にご覧ください。
上記のブログから、キーポイントとなる画像を一つだけ下に示しましょう。
なお、この症例の学術論文がClinical Case Reports 2017に受理されています。
詳細な病理画像等のデータは、「有効症例ライブラリー – 腎臓がん」ページの〔症例2114〕に掲載しておりますので、そちらをご覧ください。

胆のうがん
当初の主治医があきらめても、強い意志で転院、助かった
胆のうがんで、肝転移・リンパ節転移がある場合、手術は非常に困難となります。
手術が失敗し、当初の主治医があきらめたら、もはや運命が決まったようなものですが、この方は、強い意志で転院、自家がんワクチン療法を受診して助かっています。
症例1381
61歳、女性、胆のうがんステージIVで、2011年5月に他院で手術、既に複数の肝転移あり、リンパ節転移あり、の末期状態だった(下図)。胆嚢・胆管、リンパ節、肝の2ヶ所の部分切除後も再発必至と判断されており、術後の縫合不全により発熱、長期入院中に“余命3ヶ月”の宣告を受け、典型的がん難民となった方である。さらなる治療法を求め、当初の主治医とケンカして当院に来院、2011年8月自家がんワクチン療法を術後の1次療法として受診、その後常用量のゲムシタビン、TS-1を2015年4月まで併用した。CT検査で5年以上再発はなく、完全寛解状態を維持、元気そのものという。後の主治医はあまりにも信じがたい、と評価している。
なお、この症例は2017年9月に学術論文が出ています。

大腸がん
ステージIV、腹壁転移、腹水あり、傍大動脈リンパ節11ヶ所に転移ありでも
大腸がんでこれだけ多発転移があると、まして腹壁転移まであると、「手術はできません」となり「化学療法」だけとなることがほとんどですが、この方は幸いなことに姑息的手術を受けられました。
そのため自家がんワクチン療法が施行可能となり、治療成功となっています。
症例0994
67歳、男性、大腸がんを64歳の時に手術、ステージIV、腹壁転移、腹水あり、傍大動脈リンパ節11ヶ所に転移ありの状態だった。手術は姑息的(全部は取れない)手術で、以後、テガフール/ウラシル療法8コース、アバスチン併用FOLFOX4療法13コースを受けたにもかかわらずがん部が増大、さらに2008年5月よりカペシタビンで12コースも治療したが肺転移巣が出現、強烈な化学療法を続けるも脳梗塞を発症、化学療法を完全にあきらめた方である。
当院にて2009年8月より自家がんワクチン療法1コース目(イムノテラピィ)、転移リンパ節への放射線治療(ラジオテラピィ)、その後、自家がんワクチン療法2コース目(イムノテラピィ)を施行したところ(いわゆる“イムラジ”になっている)、腫瘍マーカーが徐々に減衰(下図)、傍大動脈リンパ節転移巣が消失した。しかも放射線照射をしていない肺転移巣までも消失(アブスコパル効果といいます)、5年以上無再発状態が続いている。
なお、この症例は2017年9月に学術論文が出ています。

子宮がん
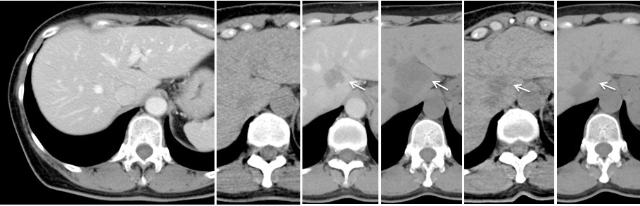
症例2329
子宮頸部小細胞がん(下図a)。予後不良と考えられ、これまでに確立した治療法がない(日本癌治療学会、子宮頸がん治療ガイドライン)。この方も6コースの抗がん剤治療でやはり無効。自家がんワクチン接種後、免疫チェックポイント阻害剤(キイトルーダ)1 mg/kgで3週おき,3回投与。広範な骨盤内リンパ節転移(b)に放射線を照射(ただし肝臓は避けて)、CT画像上は、骨盤内リンパ節の縮小傾向を認め、観測されていた肝転移巣は一時的に増大、以後縮小(c)。血中腫瘍マーカーNSEも減少、治療による副作用は認めていない。
この症例は、

が成功した典型例である。



矢印が示すやや暗い部分が転移巣。一時的に増大後、縮小した。
原著論文は → こちらのページに詳しい案内があります
(注)(2020.11.19追記)この方、自家がんワクチン投与後5年半もたってから、ご本人の希望により、細胞性免疫反応の確認テストを行っています。その結果、以下のような強い遅延型アレルギー反応が、原材料である(免疫アジュバントは含まれていない)がん組織断片に対して見られました。

この反応は、自家がんワクチンで体内に誘導されたメモリーT細胞が、5年半たっても生き残っていることを示しています。
より詳しくは、→こちらをご覧ください。
自家がんワクチンにご興味を持たれた方へ
下記より、遠慮なくお問い合わせください。
ご相談に応じます。
日曜・祝日を除き 9:00~17:30
